
건강한 삶을 리뷰하는 Heeee (287개의 글)


수면발작 원인 및 증상 자는 동안 밤에 발작 일어날 때 자면서 경련 날때

척추 종양 종류 전이성 원발성 각 원인 별 증상, 척수 주변 암이 생긴다면

근육 염증 원인 별 증상 다발성 피부 체액성 근염 및 각 검사 진단 치료 예방법 까지

수면 주기 사이클 단계 별 렘수면 필요량 및 환경 개선 등을 통하여 건강하게 숙면 취하기

양치할때 피 나는 이유 출혈이 많거나 잦다면 잇몸 및 치아 구강 건강 정도 및 양치질 방법 칫솔질 및 제품 사용 팁

사구체 종양 그리고 사구체 신염 차이, 원인 및 증상 각종 건강 관리 방법 등에 대하여

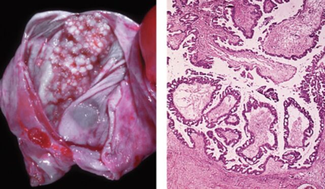
경계성 종양 난소에서 발생 한다면? 난소종양 원인 및 증상 치료 및 관리 방법까지

신중동역 맛집 고기집 제줏간 역시 숙성육이 최고야

기능성 위장장애 기질적 병변 없이 뇌와 장의 소통, 스트레스 등으로 일어날 수 있는 위장질환

입안 헐었을때 입안이 입속 뭐 났을때 따가울때 원인 및 증상 염증 때문이라면

혈소판 감소 원인 혈소판감소증 수치가 낮아진다면 확인해 봐야 할 내용

발목 인대 늘어났을때 파열 손상 됐을때 염좌 부상 치료 및 관리 방법

피부뜯기장애 자꾸 피부를 손으로 입으로 뜯는 습관, 강박장애 일종

내당능장애 IGT 원인 및 증상, 당뇨 전단계 당부하 검사 수치가 높을때 관리 및 예방 등에 대하여

이갈이 원인 및 증상 잠잘때 수면 중 이를 갈고 이를 꽉 무는 행동 치료 및 예방 방법 등에 대해

코가 매워요 간지러워요 부었어요 코 끝이 따가운 이유 염증 및 알레르기 외에도 다양한 원인 증상 12가지 자세하게

제줏간 부천상동점 쫄깃하고 두툼한 제주도 돼지고기 기깔났던 상동고기집

복부 대동맥류 복부대동맥 파열 팽만감 및 통증 생기는 원인 및 증상, 치료 및 수술 진단 등에 대한 이야기
